
48岁的玉芝(化名)
家住山西省朔州市
最近家里下了大雪
她兴奋地带着孩子出门赏雪
结果却因为地面湿滑
一个不小心滑倒了
右肘先着地
摔了个结结实实

剧烈的疼痛袭来
玉芝在地上缓了好大会儿才站起来
但当她试着活动肘关节的时候
却发现疼的根本动弹不得
到当地医院一检查
医生严肃地告诉她
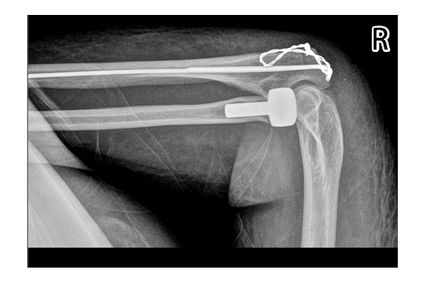
右侧尺骨鹰嘴骨折
桡骨头也骨折了

为了促进骨骼复位和快速愈合
减少肌肉萎缩发生
并且减少并发症
医生建议立即手术

为了寻求更好的治疗
玉芝家人立即上网
查询相关专家
结果发现邻省河南
成立了
北京积水潭医院郑州医院

北京积水潭医院的骨科专家
在郑州坐诊手术
并且执行院长查晔军
就是创伤骨科的专家
专业特长就包含
上肢与肘关节损伤的诊治

玉芝一家迅速买好火车票
小心翼翼地护着受伤的胳膊
连夜赶到了郑州

让他们惊喜的是
医院竟然有骨折创伤绿色通道
玉芝被迅速安排完善各项检查

查晔军院长认真看完
她的X光片和其他检查报告
与骨科周占锋主任团队
共同制定了周密的手术方案


由查晔军院长主刀
周占锋主任团队紧密配合

很快
右侧桡骨头置换术+右侧尺骨鹰嘴骨折切开复位内固定术
顺利完成

配合快速康复
玉芝的肘关节功能逐渐恢复
已经开始接受康复训练
再过一段时间
玉芝受伤的胳膊
就能恢复正常的行动啦
昨天夜里郑州下了雨后
今天温度就下降不少
根据河南省气象台预报
接下来
咱们全省大部分地区最高气温
将较前期下降8-10℃
19-20日还将迎来大风雨雪降温天气

查晔军提醒
大家注意做好防寒保暖工作的同时
还要注意防跌倒
跌倒最大的影响是引发骨折,主要部位为髋关节、脊椎骨、手腕部等处。

跌倒最大的影响是引发骨折,主要部位为髋关节、脊椎骨、手腕部等处。世界卫生组织报告指出,全球每年有30余万人死于跌倒。
雨雪天气路面湿滑的时候,老年人应尽量减少出门,不得不出门时一定要注意路面情况,穿防滑鞋,走路放慢速度迈小步,尽量避免跌倒。

但再万全的准备
也不一定能避免跌倒
所以跌倒后一定要注意
01 不要着急起身
摔倒后不要急于起身,应先看看自己身上哪里疼痛,评估下是否受伤。

02 骨折后要“伤处制动”
如果发生骨折,要立刻进行“伤处制动”,也就是限制活动,以防止伤处移位。
比如常见的腕骨骨折,可以用另一只手托住受伤手腕,或者用书本托着手及前臂,用带子悬吊在脖子上,或用绷带固定在胸前。如果是胯骨或腰发生骨折,千万不要背着或抱着伤者移动位置,一定要平躺位送医。如果情况严重,不要擅自移动伤者,要立刻拨打120,注意保暖,等待医生处理。
03 有的骨折“不太疼”
有时候伤处疼痛不明显,会导致受伤的人忽略了病情而延误时机。还有一部分人以为骨折会特别疼,如果不太疼痛就应该是没有骨折,其实是否疼痛和骨折并没有直接的因果关系,而是取决于个人对疼痛的耐受力。

特别是老年人,有的老人骨折就疼痛不明显,甚至不影响正常活动,就以为没事,而忽略了伤势。因此受伤后要尽快送医,这关系到伤者能不能顺利康复。
