
都说“貌美牙为先,齿白七分俏”
一口整齐的牙齿
堪称颜值加分的“利器”

可不少人却因为
前牙缝隙太宽犯了难
尤其缝隙超过1mm时
笑起来格外显眼
不仅拉低颜值
戳破社交自信
还容易卡食物
甚至影响咬合功能
正畸要戴一两年牙套
全冠修复得磨掉不少牙体

别慌,今天给大家介绍一个“急先锋”方案——局部瓷贴面,微创、快速还自然,不少人靠它救回了“露缝笑容”。


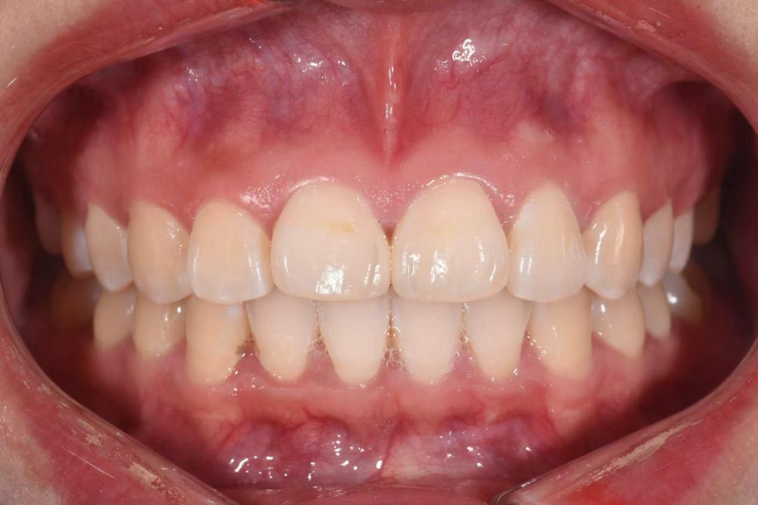
27岁的李小姐两颗门牙间的缝隙清晰可见,但就在拍婚纱照的一个月前,找到在北京积水潭医院郑州医院(郑州市中心医院)口腔科的许孟杰医生,在经过咬合检查和美学设计后,接受了局部瓷贴面方案。

经过一周的牙模定制超薄瓷片,复诊时直接粘贴,一个小时不到,李小姐原本显眼的牙缝彻底闭合了。

很多人听过瓷贴面,但“局部”二字是关键——它可不是给牙齿整个唇面“穿外衣”,而是只针对性覆盖前牙的切角、切缘或邻面,像给牙齿贴了块“精准美容补丁”。

通过专用粘接剂,把薄薄的瓷修复体粘在需要修复的部位,既能关闭牙缝,还能修复小范围缺损、改善牙齿变色,从而解决“露缝丑”的问题。

关牙缝选它
这4个优势太圈粉
相比传统正畸和全冠修复,局部瓷贴面能成为“香饽饽”,全靠这几个硬实力:
1. 微创护牙,几乎不磨牙:不用像全冠那样磨掉大量牙体组织,甚至能做到“零磨牙”,最大程度保住原生牙齿,对牙体损伤极小。
2. 颜值自然,真假难辨:瓷材料颜色通透逼真,和自身牙齿的色泽、质感浑然一体,长期用也不会发黄变色,笑起来完全看不出“加工痕迹”。
3. 用时短,急着变美必选:从取模、定制到粘接完成,整个过程只要1-2周,像李小姐这样赶在重要场合前变美,再合适不过。
4. 耐磨舒适,无异物感:瓷材料硬度高、稳定性强,日常咀嚼不易磨损;而且贴片超薄,粘好后几乎没异物感,吃饭说话都自然。
