
70岁的李阿婆(化名)怎么也没想到,原本为了预防血栓风险置入的下腔静脉滤器,三个月后想取出时却遭遇了难题——滤器出现严重倾斜,当地医院因操作难度大无法完成介入取出,这让阿婆和家属心里揪紧了。
几经辗转,阿婆来到北京积水潭医院郑州医院,最终在北京积水潭医院血管外科专家、我院副院长田轩团队的精心施治下,这枚“卡壳”的滤器被顺利取出。

求医困境:
滤器倾斜难取出

三个月前,李阿婆因下肢深静脉血栓形成,在当地医院接受了下腔静脉滤器置入术,这枚滤器如同血管内的“防护网”,能有效拦截脱落的大块血栓,降低肺动脉栓塞的风险。

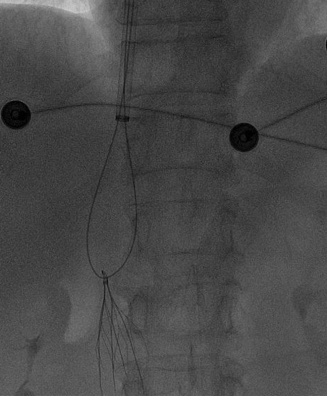
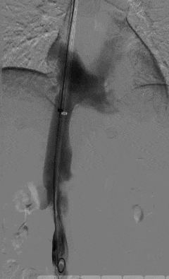
三个月后,滤器完成临时防护使命,阿婆按计划回到当地医院准备取出,可检查结果却让所有人犯了难——影像显示,滤器出现严重倾斜,大大增加了介入取出的操作难度,稍有不慎便可能造成血管损伤,当地医院因技术限制无法开展操作,只能建议阿婆前往上级医院求助。

滤器作为体内异物,长期留置可能引发移位、血栓加重、下腔静脉阻塞等多种并发症,阿婆和家属满心焦急,四处打听靠谱的诊疗渠道。
抱着最后一丝希望,阿婆来到北京积水潭医院郑州医院,希望通过北京专家解决自己的难题。

北京积水潭医院血管外科专家、郑州医院副院长田轩得知阿婆的就诊经历和身体情况后,第一时间为其专业评估,仔细查看影像资料,明确滤器倾斜的具体程度和位置,并告知阿婆及家属,可通过介入手段尝试取出,让阿婆悬着的心终于放了下来。
随后,医院快速为阿婆安排住院,医疗团队结合其个体情况制定详细术前方案,逐一完善各项准备,从器械筹备到风险防控,每一个环节都认真准备,筑牢手术安全基础。

精准施治:
顺利取出“卡壳”滤器


一切准备就绪后,田轩带领介入诊疗团队为阿婆实施下腔静脉滤器取出术。

术中,团队在影像设备的精准引导下,娴熟操作介入器械,精准定位倾斜的滤器,避开血管周边组织,逐步完成滤器的调整、抓取与取出操作。



整个手术过程十分顺利,未出现任何血管损伤等意外情况,这枚让阿婆和家属忧心许久的“困难”滤器被成功取出,术后阿婆生命体征平稳,身体状况良好。

血栓拦截网

下腔静脉滤器是临床预防下肢深静脉血栓或肺动脉栓塞的常用介入装置,通常被放置在肾静脉下方的下腔静脉内,如同血管内的“血栓拦截网”,

它能有效阻挡脱落的大块血栓随血液流动引发致命的肺动脉栓塞,为血栓患者的治疗保驾护航。
但需注意,滤器属于体内异物,并非永久性植入装置,长期留置可能引发多种并发症,因此滤器取出术成为必要的后续操作。
结合临床诊疗经验,关于下腔静脉滤器的使用与取出,有三点建议需谨记:
滤器选择

临床中应尽量选用可回收滤器,严格遵循“短期使用、及时取出”原则,减少长期留置风险;
把握取出时间窗

多数可回收滤器建议在置入后2-4周内取出,超出3个月易出现倾斜、移位等情况,降低取出成功率;
选择专业诊疗团队

滤器取出术对操作经验要求较高,专业医生能有效降低操作风险,尤其针对困难滤器取出,需主刀医生具备应对突发状况的能力,为手术安全增添保障。
稿件来源:血管外科 叶郁青
END
微信号丨bjjstyyzzyy

点赞
分享
收藏