
CHUANGSHANG
近日,北京积水潭医院郑州医院创伤骨科周占锋医师团队,为一名中东国家在华留学生顺利完成旋前外旋 Ⅳ 度踝关节骨折切开复位内固定手术。经规范诊疗与系统康复,患者恢复情况良好,对诊疗服务表示认可与感谢。

01
伤情复杂
精准诊断明确治疗方向
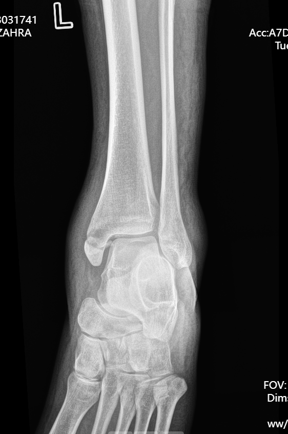
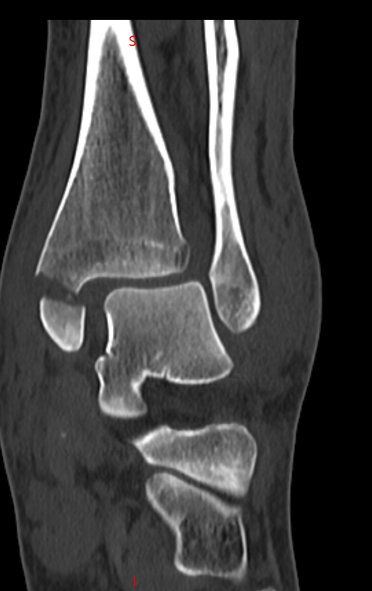
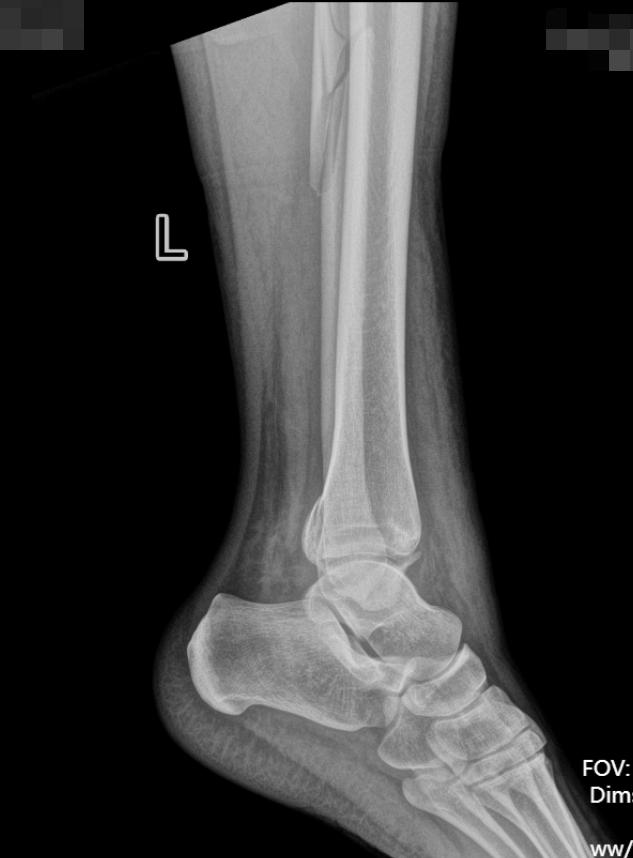
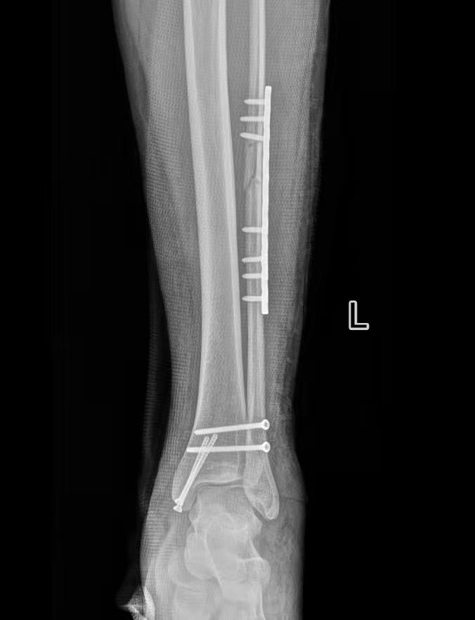
患者因意外受伤后踝关节疼痛、肿胀、无法行走,急诊就诊于我院。
经检查确诊为旋前外旋 Ⅳ 度踝关节骨折,包含腓骨中段骨折、内踝骨折、后踝骨折及下胫腓联合分离,属于临床中结构复杂、稳定性破坏较严重的踝关节损伤。



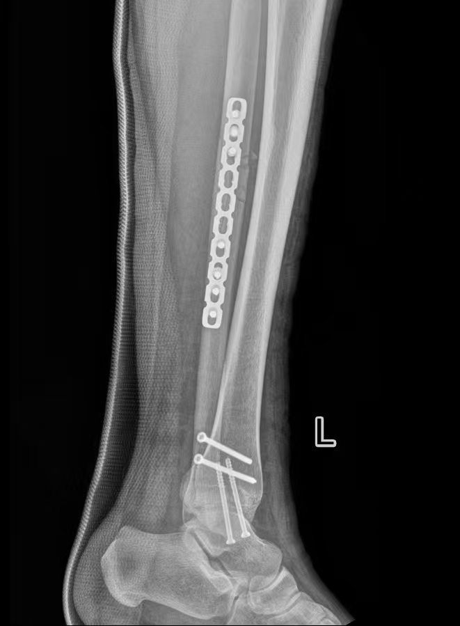
为保障诊疗安全,周占锋团队联合麻醉与围术期医学科、康复医学科开展术前综合评估,结合患者伤情与个体情况制定手术方案,并与患者充分沟通病情、治疗计划及注意事项,缓解其紧张情绪。
术中严格遵循骨科诊疗规范,完成骨折复位与固定,手术过程顺利。
02
多学科协作
个体化方案保障手术安全
术后,医护团队为患者制定个性化康复计划,开展伤口护理、疼痛管理与早期功能锻炼指导,定期监测恢复情况。


目前患者肿胀消退明显,踝关节功能逐步改善,整体恢复平稳。

03
踝关节骨折
这些要点一定要知道

走路、跑步、上下楼梯时崴脚
运动中突然扭转、踩空、外力碰撞
穿高跟鞋、鞋底过滑、路面不平等易诱发
局部剧烈疼痛、快速肿胀
皮肤淤青、关节畸形
无法站立、负重或正常活动
按压时疼痛明显加重

休息(Rest):立即停止活动,避免负重行走
冰敷(Ice):48 小时内用毛巾包裹冰袋冰敷,每次 15–20 分钟
加压(Compression):用弹性绷带适度包扎,减轻肿胀
抬高(Elevation):将患肢抬高,高于心脏水平,促进血液回流
怀疑骨折不要自行揉按、强行站立,避免加重移位
复杂踝关节骨折若处理不规范,可能遗留疼痛、不稳、创伤性关节炎
术后需按医嘱进行康复锻炼,过早或过度活动会影响愈合
END
微信号丨bjjstyyzzyy

点赞
分享
收藏