

近日,北京积水潭医院郑州医院关节外科主任杨锴、副主任医师吴靖宇成功运用天玑机器人辅助手术系统,为一名饱受双膝重度骨关节炎困扰十年的65岁患者完成双侧全膝关节置换术,以亚毫米级精准操作突破传统手术精准度瓶颈,标志着郑州地区关节外科诊疗迈入“智能精准”新阶段。

十年病痛缠身
复杂病例寻求精准诊疗
患者张阿姨(化名)的膝关节受骨关节炎影响已达10年,期间出现软骨严重磨损、骨质增生、关节畸形等问题,日常行走功能严重受限,每一步都伴随明显疼痛,尝试药物、理疗等多种方式后,改善效果不佳。

对于这类病程长、关节病变复杂的病例,传统全膝关节置换术需依赖医生临床经验完成骨骼切割、假体安放等关键操作,而关节力线校准、假体角度把控等环节对精度要求极高,操作偏差可能影响术后关节功能恢复,诊疗难度较大。
天玑机器人助力
构建全流程精准诊疗体系
为提升复杂关节置换术的精准性与安全性,医院引入天玑机器人辅助手术系统。该系统通过数字化技术延伸外科医生的诊疗能力,为手术全程提供精准支持。

术前个体化规划:基于患者CT数据,系统构建1:1比例的3D数字膝关节模型,可在虚拟空间完成术前推演,精准测算假体安放角度、关节力线等关键参数,为患者定制专属手术方案,告别“千人一面”的诊疗模式。

术中精准化执行:手术过程中,机器人臂凭借稳定的操作性能,严格遵循术前规划完成骨骼切割与假体植入,操作精度控制在亚毫米级,既保障了骨骼切割的规范性,又最大程度减少对健康软组织的影响,实现微创化治疗目标。

术中实时化导航:系统通过动态监测同步提供视觉与数据反馈,帮助医生实时掌握手术进展,及时校准操作偏差,确保手术全程处于精准可控状态,降低手术风险。

人机协同诊疗
术后恢复达到预期
天玑机器人与手术团队密切配合,将外科临床经验与智能技术深度融合。相较于传统手术,此次机器人辅助手术在操作精准度、软组织保护等方面呈现显著优势,术中出血量更少,手术流程更优化。

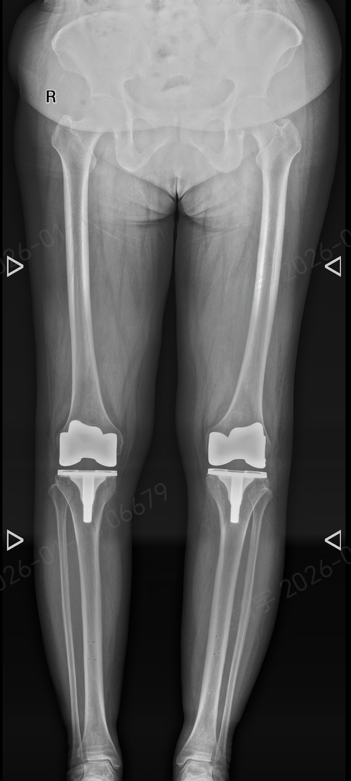
手术结束后,张阿姨的膝关节畸形得到矫正,疼痛感明显改善。令人欣慰的是,她在术后次日便能自主站立,目前已顺利开展功能康复训练,逐步向正常行走目标推进。


杨锴主任表示,机器人让关节外科手术从依赖经验的临床实践,升级为可量化、可规划、可精准复制的规范化诊疗模式。
天玑机器人的成功应用,为复杂关节置换术提供了更可靠的技术支撑,也让骨关节疾病患者能够便捷享受到高质量的国家级诊疗服务。
来源:2026年1月14日大河报健康新闻今日头条官方账号文章
END
微信号丨bjjstyyzzyy

点赞
分享
收藏