
——
需要翻修的髋关节

近日,我院骨病与骨肿瘤科团队联合北京积水潭医院骨肿瘤专家刘巍峰,成功为一名骨肿瘤术后髋关节置换 5 年、突发关节脱位的患者,精准实施高难度人工髋关节翻修手术。
<
作为国家区域医疗中心,此次跨省医疗深度协作,既是我院与北京积水潭医院协作关系的进一步深化,更是持续推动优质医疗资源下沉、让辖区患者在家门口享受国内顶尖诊疗服务的具体实践,为疑难骨病跨区域救治提供了高效可复制的范例。
<
62 岁的张先生(化名)5 年前因骨肿瘤接受髋关节置换手术,术后恢复良好。
然而近期,其人工髋关节突发脱位,当地医院多次复位失败,导致肢体活动完全受限,只能卧床休养。
随着卧床时间延长,患者不仅承受持续关节疼痛,还出现肌肉萎缩、翻身困难等问题,生活完全无法自理。
为寻求有效治疗,张先生及家属辗转多地咨询,却因病情复杂屡屡受阻。
接诊后,北京积水潭医院郑州医院骨病与骨肿瘤科主任秦光华团队展开全面评估,影像学检查显示多重棘手问题:
人工髋关节脱位明确且假体松动明显,
患侧脱位后解剖结构紊乱,进一步增加治疗难度。

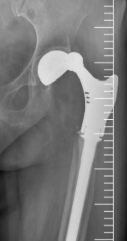
术前X线影像检查
临床数据显示,此类肿瘤术后髋关节翻修手术的难度系数是常规翻修手术的 3 倍以上,对手术团队的解剖认知、操作精度及应急处理能力均提出极高要求。
面对这一高难度病例,秦光华团队第一时间与总院北京积水潭医院骨肿瘤科专家刘巍峰对接,申请联合诊疗。
两院专家通过远程会诊系统,详细共享病历资料、影像学检查结果及初步评估报告,经过多轮线上沟通,最终敲定个性化的人工髋关节翻修手术方案,同时制定详细应急预案,应对术中可能出现的假体适配不良、骨缺损修复效果不佳等问题。
2026 年 1 月 17 日,由刘巍峰主刀,手术在郑州医院如期开展。

两院专家密切配合,整个过程有条不紊:
先松解粘连软组织,精准暴露脱位人工关节,在保护周围神经、血管的前提下取出松动旧假体;
随后根据患者骨骼形态和力学需求,植入定制化翻修假体,通过精准定位技术确保假体安装角度与下肢力线匹配,同时调整软组织平衡,恢复髋关节正常活动功能。
在神经电生理监测全程保障下,手术期间未出现任何并发症,假体位置良好、固定牢固,手术圆满成功。

术后X线影像检查
术后复查显示,张先生的人工髋关节位置正常,假体固定稳定,骨缺损修复效果符合预期,未出现感染、出血等并发症。后续将在康复团队指导下进行进一步功能训练。

<
作为国家区域医疗中心,北京积水潭医院郑州医院与北京积水潭医院通过专家派驻、远程会诊、联合手术、进修深造、学术交流等多种形式,持续深化合作,打造以骨科、创伤救治为优势学科的“大专科、强综合”医院。围绕十大功能定位,实现管理、技术、品牌“三个平移”。
未来,我院将进一步推动优质医疗资源下沉,降低患者就医成本,提高疑难重症救治效率,让更多患者在家门口就能获得高效、优质、便捷的诊疗服务,切实提升群众就医获得感和幸福感。
稿件来源:河南百姓健康 微信公众号
END
微信号丨bjjstyyzzyy

点赞
分享
收藏